5to. dedo varo

5to. dedo varo

.
1959-01-01
.
16 min

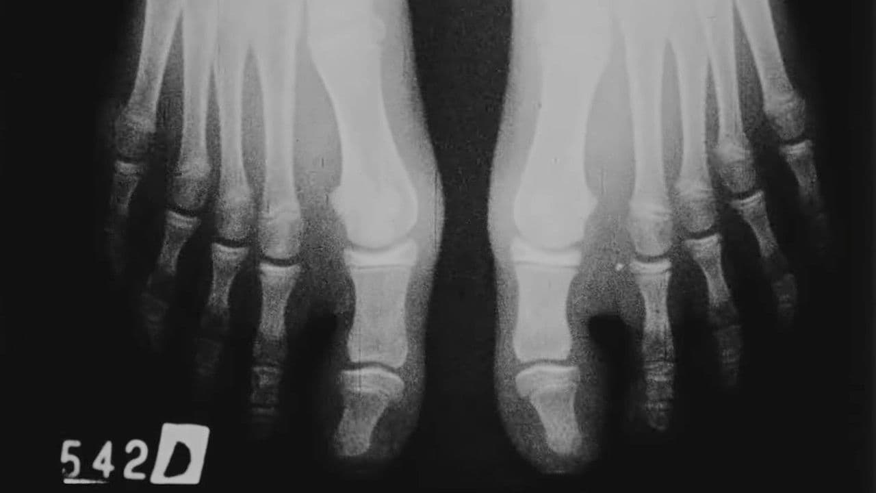
Documentary about a surgical incision to a varus finger.

Storyline

Documentary about a surgical incision to a varus finger.
Released
1959-01-01
Runtime
16 min
Budget
$0
Revenue
$0
Language
Español
Status
Released
Genre
Production
Instituto de Cinematografía de la Universidad Nacional del Litoral
Directors

CASTS

More Like This

Logo
GOMOVIEINFO

Made with Love By Anonymous

This project uses the TMDB API but is not endorsed or certified by TMDB.

HomeMoviesTV SeriesSearch